We are not a registered HMO/Medicare/Medicaid provider instead, try our Membership Plan
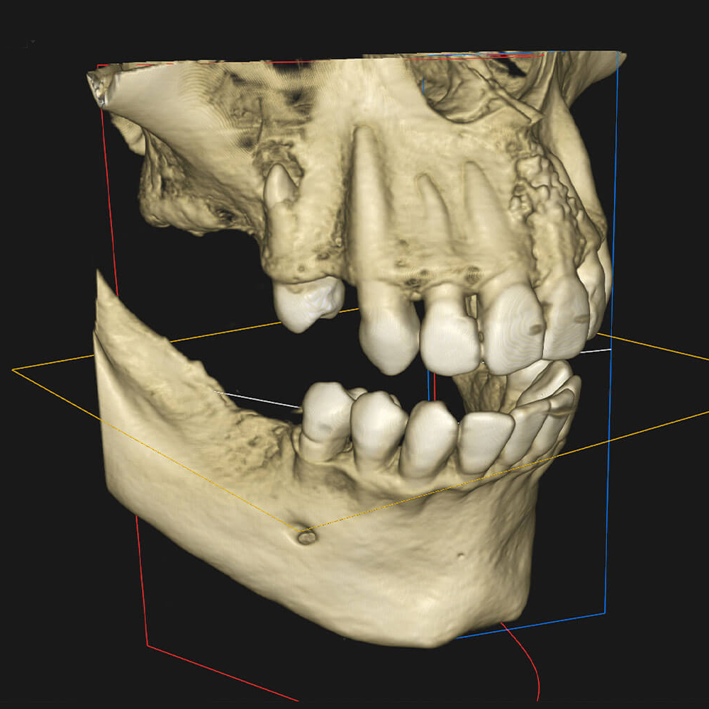
3D CBCT x-ray
3D CBCT imaging improves treatment accuracy and patient confidence
Can you believe that most of our dentistry in the past has been performed while only using imaging in 2 dimensions? 3D CBCT Imaging has changed how our patients experience and receive dental care.

What Is 3D CBCT Imaging?
Cone Beam Computer Tomography (CBCT), also referred to as 3D dental imaging, provides a clearer and more detailed view of dental anatomy compared to traditional 2D dental x-rays. Unlike 2D x-rays, CT scans can be rotated and manipulated to examine teeth from every angle.

How it serves you:
- Improved diagnostics when you have a toothache
- Higher safety during dental procedures such as implants or extractions
- Precise planning for tooth replacement therapy utilizing implants
- Increased efficiency during dental procedures like root canals
- Detects sleep apnea risk factors
Ask us how it will benefit you
Want to schedule an appointment?
Ready to book your next appointment? Let's find the perfect time for you!


